Page Nav

HIDE

Grid

GRID_STYLE
latest

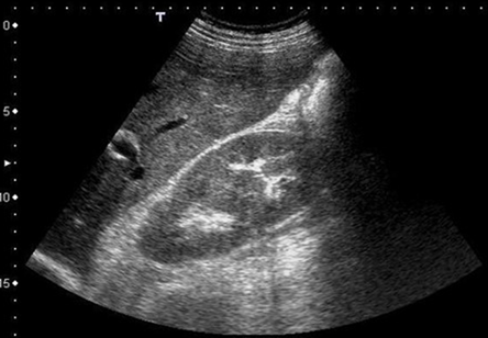
55 year old male

55 year old male , what is the abnormality seen on this scan ? us shows a column of Bertin in the right kidney as a normal variant. The ...

55 year old male , what is the abnormality seen on this scan ?image

us shows a column of Bertin in the right kidney as a normal variant.

The sonographic signs of hypertrophied columns of Bertin are characteristic. The only possible pitfall is the parapelvic cyst. Careful analysis of the echogenicity of such a cyst and its acoustic enhancement will help to differentiate it from hypertrophied columns of Bertin. The renal column (or Bertin column, or column of Bertin) is a medullary extension of the renal cortex in between the renal pyramids. It allows the cortex to be better anchored.