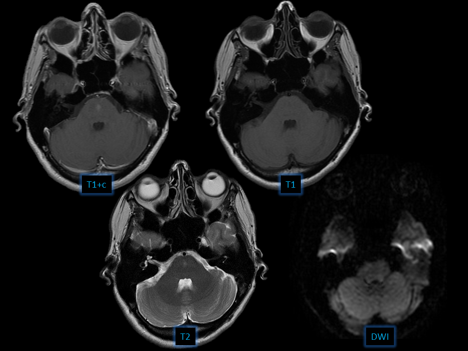
Findings – Central pontine enhancing focus – No mass effect Differential – Capillary telangiectasia – Developmental venous anomaly – Metasta...
Findings
– Central pontine enhancing focus
– No mass effect
Differential
– Capillary telangiectasia
– Developmental venous anomaly
– Metastasis
– Cavernous malformation
Diagnosis: Brain capillary telangiectasia
• Cluster of enlarged capillaries with interspersed parenchyma
• Enhancement without mass effect
• 50% T2 hyperintense
• Common locations
-Pons
-Cerebellum
-Spinal cord
