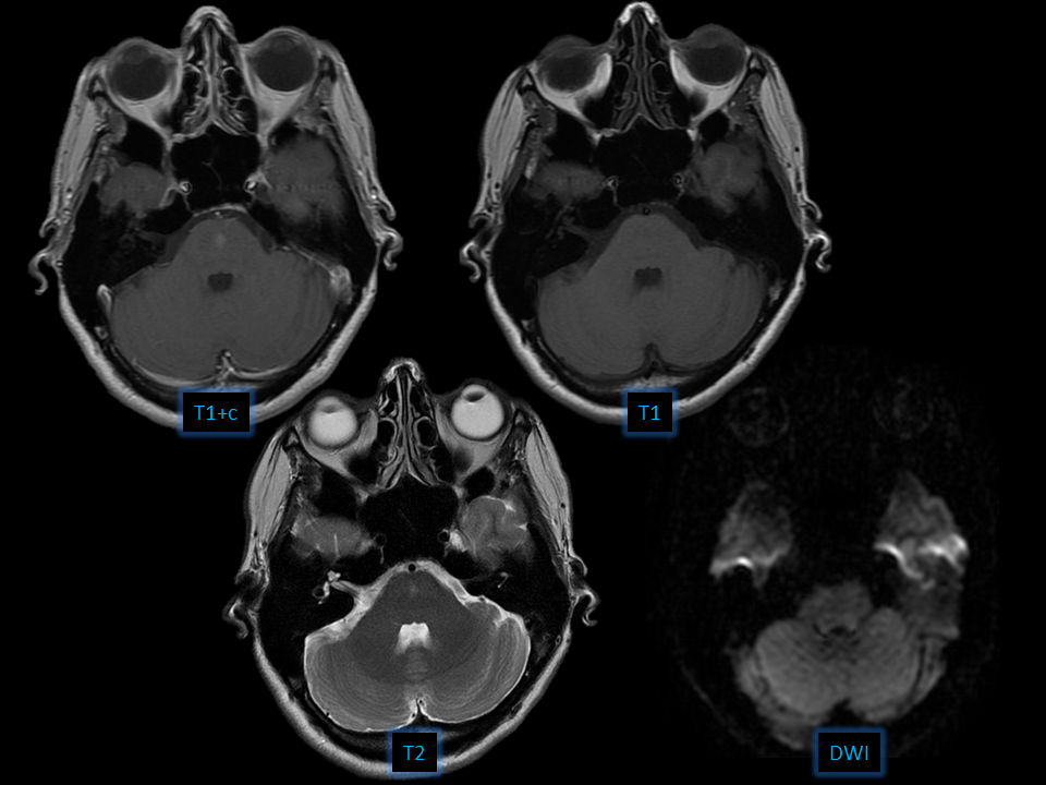
Discussion • Findings - Central pontine enhancing focus - No mass effect • Differential - Capillary telangiectasia - Developmental venous an...
Discussion
• Findings
- Central pontine enhancing focus
- No mass effect
• Differential
- Capillary telangiectasia
- Developmental venous anomaly
- Metastasis
- Cavernous malformation
Brain capillary telangiectasia
• Cluster of enlarged capillaries with interspersed parenchyma
• Enhancement without mass effect
• 50% T2 hyperintense
• Common locations
-Pons
-Cerebellum
-Spinal cord
