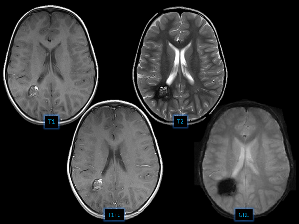
Findings – Heterogeneous mass – IntrinsicT1 and lowT2 margin – Blooming artifact atGRE Differential – Cavernous malformation – Diffuse axona...
Findings
– Heterogeneous mass
– IntrinsicT1 and lowT2 margin
– Blooming artifact atGRE
Differential
– Cavernous malformation
– Diffuse axonal injury
– Arteriovenous malformation
– Hemorrhagic neoplasm
Cavernous Malformation
- Cavernous Malformation = cavernoma, cavernous angioma, cavernous hemangioma
- Benign sporadic or familial low pressure vascular lesion with bleeding propensity
- Locules of blood in different phases
- 50% have calcification
- show T2* GRE blooming artifact
- Asymptomatic-Seizures,Major hemorrhage
- Associated with developmental venous anomaly
